Retroperitoneal lymp node dissection (RPLND) for testes cancer
Retroperitoneal lymph nodes from testes cancer
Cut section of testis showing testis cancer of seminoma type
Testis cancer treated by radical inguinal orchidectomy
Testes self examination to detect early testes lump
Testes Cancer - Frequently asked questions
bus20_sqdot.gif
Risk factor
bus20_sqdot.gif bus20_sqdot.gif
Incidence
Definition
S H HO UROLOGY AND LAPAROSCOPY CENTRE
testes_cancer001011.jpg
[Back to Top]
bus20_sqdot.gif
Treatment
bus20_sqdot.gif
Diagnosis
bus20_sqdot.gif
Useful links
Radical orchidectomy or total removal of the testis and spermatic cord as treatment for early cancer
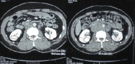
CT scan showing large retroperitoneal lymph nodes (circled) after chemotherapy
CT scan showing an undescended testis in the left abdomen (circled)
Updated 8 Sept 09
About Us
Our Services
Urology
Laparoscopy
Contact Us
Home

a. What is testicular cancer?

 

Testicular cancer occurs in the testicles (testes), which are located inside the scrotum, a loose bag of skin underneath the penis. The testicles produce male sex hormones and sperm for reproduction.

b. Is testis cancer common?

 

From 1968 to 1992, there were 264 cases of testicular cancers registered with the Singapore Cancer Registry representing about 1% of all cancers in Singapore. There has not been a trend change for testicular cancer. Compared with other types of cancer, testicular cancer is rare. But testicular cancer is the most common cancer in males between the ages of 15 and 34. This is significant as it affects men during the peak of their life.

c. Who is at risk of testicular cancer?

 

The cause of testicular cancer is unknown. Risk of testicular cancer is 40 times higher in men with a history of undescended testes. The testes originate in the abdomen and descend into the scrotum during fetal development. Some boys may be born with undescended testes and would require an early surgery to bring the testes down to the scrotum. Preferably, this surgery should be done before the age of 5 years old, otherwise, the testis will not be functional and would require a surgical removal instead.

 

Abnormal testicular development such as microlithiasis is also associated with testicular cancer. Family history of testicular cancer will also increase risk of cancer.

testes_cancer001010.jpg

e. How is testicular cancer diagnosed?

 

It usually presents as a painless lump in the testis which may grow quite quickly over a period of several weeks.  The lump will require an ultrasound investigation. If ultrasound confirms a solid (tumor) lump, the suspicion of testicular cancer is very high.

 

Blood test for testicular cancer markers such as AFP and beta hCG would further support the diagnosis of testicular cancer. Surgical removal of the testes is required to confirm the diagnosis of cancer and type of testicular cancer.

e. Is there treatment for testicular cancer?

 

Surgery to remove the testicle (radical inguinal orchidectomy) is the primary treatment for nearly all stages and types of testicular cancer. Removal of only the diseased testis is required. The remaining healthy testis will be monitored and will produce adequate sperm and hormones for normal function. In very early cancer, this surgery may be the only treatment that is required.

 

Radiotherapy to the abdomen can be given to prevent cancer spread to the abdominal lymph nodes. In some patients, a short course of chemotherapy can also achieve similar results.

testes_cancer001009.jpg testes_cancer001008.jpg

In advanced testicular cancer that has spread to other parts of the body such as lymph nodes, liver, lungs or brain; a combination of aggressive chemotherapy followed by surgical removal of the abdominal lymph nodes are still highly effective in controlling the cancer. Surgical removal of the abdominal lymph nodes, called retroperitoneal lymph node dissection (RPLND) can remove any remaining cancer infected lymph nodes that is not addressed by chemotherapy. Hence, testicular cancer is highly treatable, even when cancer has spread beyond the testicle

testes_cancer001007.jpg testes_cancer001006.jpg

f. What are the latest developments in testicular cancer treatment?

Testicular cancer has seen the most dramatic improvements in cure rates in a cancer that impacts significantly on the economically important young males of society. Newer chemotherapy treatment is associated with better response and lower side effects.

 

Truly, this cancer warrants close collaboration between the urologist, medical oncologist and radiation oncologist for optimum outcome as only multi modality treatment can render good long term cure. This has always been the emphasis of our centre.

Exploration and biopsy of the lump is sometimes performed prior to surgical removal if the ultrasound and blood test results are not obvious. Frozen section of the lump will be sent to the pathologist during the surgery and an immediate result on the nature (cancer or not cancer) can be determined to guide further treatment.

The exact treatment for each type of testis cancer is very different. Early seminoma type is usually treated with surgery followed by radiation to the abdomen or chemotherapy. The non-seminoma type is also treated by surgery but followed by a longer course of chemotherapy.

In retroperitoneal lymph node dissection, all lymph nodes around the major blood vessels such as aorta, inferior vena cava, kidney and iliac blood vessels are removed, without damaging these important structures as well as preserving the sympathetic nerves that are important for future reproduction. This is a technically demanding surgery requiring high level of expertise.

testes_cancer001001.jpg
Testis cancer
bus20_sqdot.gif
Risk factor
bus20_sqdot.gif bus20_sqdot.gif
Incidence
Definition
bus20_sqdot.gif
Treatment
bus20_sqdot.gif
Diagnosis
bus20_sqdot.gif
Useful links
Testis cancer
bus20_sqdot.gif
Risk factor
bus20_sqdot.gif bus20_sqdot.gif
Incidence
Definition
bus20_sqdot.gif
Treatment
bus20_sqdot.gif
Diagnosis
bus20_sqdot.gif
Useful links
Testis cancer